Клиника гнатологии и миофункциональной стоматологии
«Медлайн Люкс»
Москва, м. ВДНХ, ул. 2-ая Новоостанкинская, д. 12
Работаем ежедневно
с 9:00 до 21:00
Клиника гнатологии и миофункциональной стоматологии «Медлайн Люкс»
Москва, м. ВДНХ, ул. 2-ая Новоостанкинская, д. 12

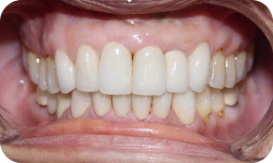
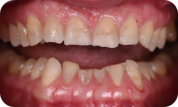
До/после имплантация

Имплантация по методике All-on-4 на обе челюсти
Что было сделано:
Срок: 1 визит
Стоимость: 320 Т. ₽
Имплантация по методике All-on-4 на нижней челюсти и All-on-6 на верхней челюсти
Что было сделано:
Срок: 1 визит
Стоимость: 420 Т. ₽
Имплантация по методике All-on-4 на верхней челюсти
Что было сделано:
Срок: 1 визит
Стоимость: 180 Т. ₽
Имплантация по методике All-on-6 на обе челюсти
Что было сделано:
Срок: 2 визита
Стоимость: 560 Т. ₽
Имплантация 6 зубов с циркониевой коронкой
Что было сделано:
Срок: 7 месяцев
Стоимость: 250 Т. ₽
Имплантация 3 зубов с керамической коронкой
Что было сделано:
Срок: 4 месяца
Стоимость: 120 Т. ₽

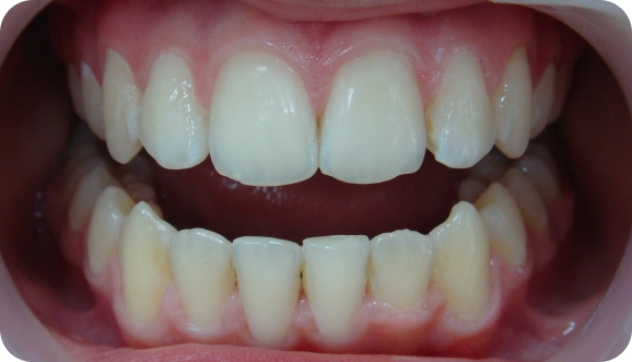
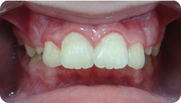
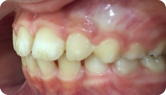
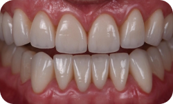
До/после коронки

Имплантация 4 зубов с циркониевой коронкой
Что было сделано:
Срок: 1 месяц
Стоимость: 350.000₽
Имплантация 6 зубов с керамической коронкой
Что было сделано:
Срок: 1 месяц
Стоимость: 525.000₽
Имплантация 2 зубов с циркониевой коронкой
Что было сделано:
Срок: 1 месяц
Стоимость: 350.000₽
Имплантация 4 зубов с керамической коронкой
Что было сделано:
Срок: 1 месяц
Стоимость: 350.000₽
Имплантация 6 зубов с циркониевой коронкой
Что было сделано:
Срок: 3 месяца
Стоимость: 300.000₽
Имплантация 3 зубов с керамической коронкой
Что было сделано:
Срок: 4 месяца
Стоимость: 160.000₽

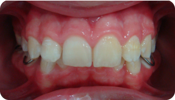
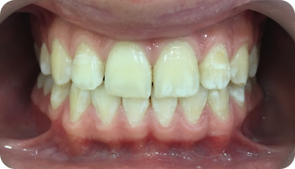
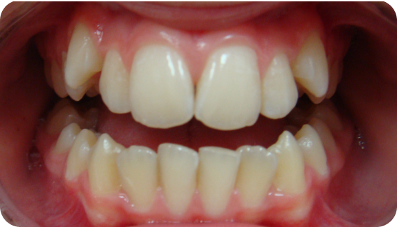
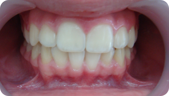
До/после брекеты

Брекеты на верхней челюсти
Что было сделано:
Срок: 12 месяцев
Стоимость: 350.000₽
Брекеты на верхней челюсти
Что было сделано:
Срок: 13 месяцев
Стоимость: 350.000₽
Брекеты на верхней и нижней челюстях
Что было сделано:
Срок: 12 месяцев
Стоимость: 250.000₽
Брекеты на верхней челюсти
Что было сделано:
Срок: 1 сеанс
Стоимость: 3.500₽
Брекеты на верхней челюсти
Что было сделано:
Срок: 13 месяцев
Стоимость: 300.000₽
Брекеты на верхней и нижней челюстях
Что было сделано:
Срок: 11 месяцев
Стоимость: 160.000₽

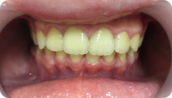
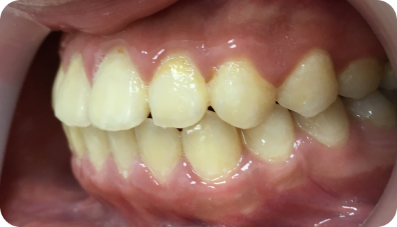
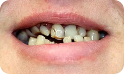
До/после протезирование

Имплантация 4 зубов с циркониевой коронкой
Что было сделано:
Срок: 1 месяц
Стоимость: 350.000₽
Имплантация 6 зубов с керамической коронкой
Что было сделано:
Срок: 1 месяц
Стоимость: 525.000₽
Имплантация 2 зубов с циркониевой коронкой
Что было сделано:
Срок: 1 месяц
Стоимость: 350.000₽
Имплантация 4 зубов с керамической коронкой
Что было сделано:
Срок: 1 месяц
Стоимость: 350.000₽
Акриловый протез на верхнюю
и нижнюю челюсть
Что было сделано:
Срок: 2 месяца
Стоимость: 650.000₽
Съемный протез на обе челюсти
Что было сделано:
Срок: 3 сеанса
Стоимость: 70.000₽
Срок: 11 месяцев
Что было сделано:
Коррекция недоразвития и сужения обеих челюстей, скученности зубных рядов на фоне мышечной дисфункции
Срок: 6 месяцев
Что было сделано:
Коррекция миофункциональных нарушений, дистального,открытого прикуса, исключение вредной привычки — сосания пальцев
Срок: 9 месяцев
Что было сделано:
Коррекция прикуса без брекетов, исключение напряжения подбородочной мышцы
Срок: 7 месяцев
Что было сделано:
Коррекция дистального прикуса, коррекция недоразвития нижней челюсти , исключение вредных мышечных привычек.
Срок: 8 месяцев
Что было сделано:
Коррекции без брекетов и пластинок, исключение недоразвития обеих челюстей при помощи миофункциональной коррекции.
Срок: 6 месяцев
Что было сделано:
Коррекция недоразвития нижней челюсти без брекетов и пластинок при помощи миофункциональной коррекции

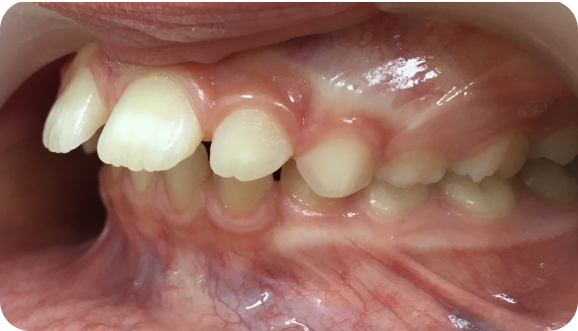
До/после миофункциональная
терапия

Исправление прикуса, исключение вредных мышечных привычек - прикусывание нижней губы и дисфункция языка
Что было сделано:
Срок: 14 месяцев
Коррекция дистальной окклюзии ,недоразвития нижней челюсти, исключение вредной привычки прокладывания языка
Что было сделано:
Срок: 6 месяцев