Клиника гнатологии и миофункциональной стоматологии
«Медлайн Люкс»
Москва, м. ВДНХ, ул. 2-ая Новоостанкинская, д. 12
Работаем ежедневно
с 9:00 до 21:00
>

Восстановим правильную работу
височно-челюстного сустава: найдём и устраним причину дискомфорта

Приём опытных врачей-гнатологов
Запишитесь на осмотр,
и получите диагностику и комплексный план лечения
Клиника гнатологии и миофункциональной стоматологии «Медлайн Люкс»
Москва, м. ВДНХ, ул. 2-ая Новоостанкинская, д. 12
Иногда пациента мучает боль и другие неприятные симптомы, а стоматолог не видит причин, т.к. с зубами и деснами всё в порядке. Тогда приходится искать причинно-следственные связи и проводить диагностику: лицевых и жевательных мышц, костей челюсти, ВНЧС, нервных окончаний. Этим занимается врач-гнатолог.
Врач-гнатолог поможет вам найти причины и справиться с любыми из этих симптомов
На поздних стадиях дисфункции ВНЧС может возникать боль при пережевывании твердых продуктов, невозможность полностью открыть рот, головная боль, мигрень, заложенность ушей, бессонница, храп, сухость во рту, головокружение.

Необходимо как можно быстрее обратиться ко врачу, чтобы избежать развития необратимых последствий и артроза височно-нижнечелюстного сустава.
Консультация гнатолога необходима при ортопедическом и ортодонтическом лечении
Гнатолог найдет причину и даст рекомендации по коррекции установленной конструкции.
Если зафиксировать брекеты или изготовить протезы, коронки без учёта равномерного распределения жевательной нагрузки челюстно-лицевой области , то через некоторое время могут появиться проблемы, описанные выше.
После консультации у вас на руках будет
план лечения, в которых будет прописано:
Гнатолог всегда работает в тандеме с другими врачами: хирургами, ортодонтами, ортопедами, отоларингологами, неврологами для комплексного и эффективного решения проблемы.
Используем самое современное оборудование и методы исследования для точной постановки диагноза
А также внимательно собирается анамнез, выявляются связи между хроническими заболеваниями и симптомами, чтобы исключить ошибку в постановке диагноза.
Обзорный рентген височно-нижнечелюстного сустава
Выявляет патологии развития костной ткани связочного аппарата

КТ
Помогает обнаружить изменения в тканях

МРТ
Помогает оценить состояние околосуставных мягких
тканей, суставного диска

Аксиография, аппаратная фиксация движения
нижней челюсти и графическая диагностика

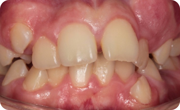
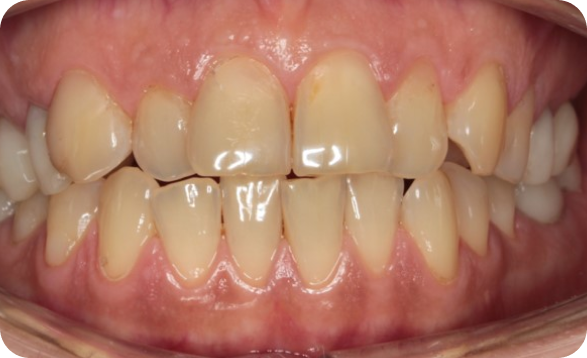
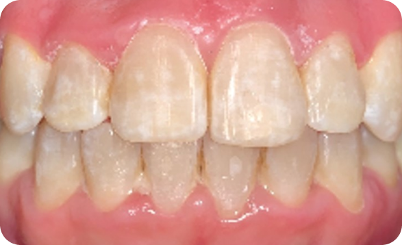
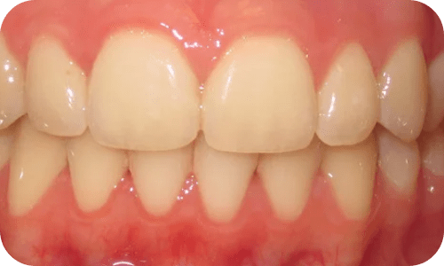
Что было сделано:
Срок: 3 сеанса
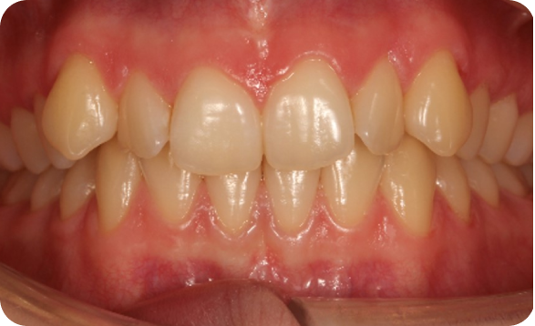
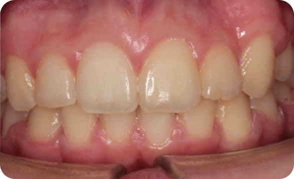
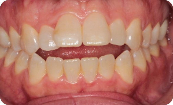
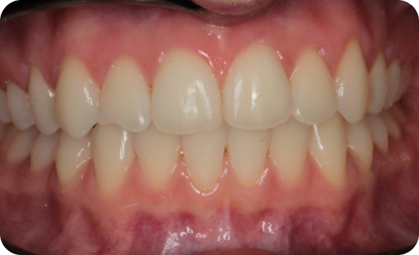
Что было сделано:
Срок: 4 сеанса
Ортодонтическая коррекция после гнатологического лечения
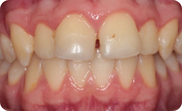
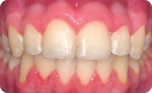
Что было сделано:
Срок: 3 месяца
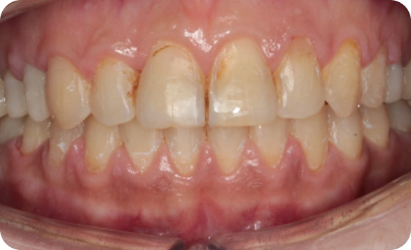
Что было сделано:
Срок: 4 месяца
Ортодонтическая коррекция после гнатологического лечения
Ортодонтическая коррекция после гнатологического лечения
Ортодонтическая коррекция после гнатологического лечения
Наши работы
до/после
Что было сделано:
Срок: 3 сеанса
Что было сделано:
Срок: 4 сеанса
Ортодонтическая коррекция после гнатологического лечения
Ортодонтическая коррекция после гнатологического лечения
Запишитесь на консультацию в нашу клинику
На консультации мы:
  1. Проведем полное обследование
  2. Составим план лечения в 3-х вариантах
  3. Назовем точные сроки и стоимость «под ключ»
Нажимая на кнопку, вы даете согласие на обработку своих персональных данных и соглашаетесь с Политикой конфиденциальности
Администратор позвонит Вам в течении 15 минут, предложит удобное время записи на прием и ответит на имеющиеся вопросы
В нашей клинике вы ощутите комфорт,
спокойствие и нашу заботу
Контакты:
Адрес:
г. Москва, м. ВДНХ, ул. 2-ая Новоостанкинская, д. 12

Режим работы:
Ежедневно с 9:00 до 21:00

Телефон:
+7(499)673-43-73
+7(991)310-87-07

Наша почта:
info@medlainlux.ru

Записаться на консультацию