Клиника гнатологии и миофункциональной стоматологии
«Медлайн Люкс»
Москва, м. ВДНХ, ул. 2-ая Новоостанкинская, д. 12
Работаем ежедневно
с 9:00 до 21:00
>
Запишитесь на осмотр,
и получите диагностику и комплексный план лечения

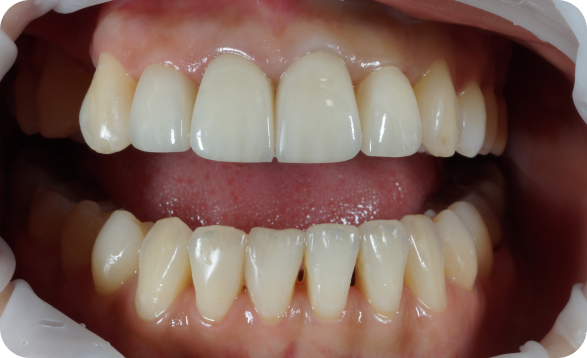
Керамические виниры E-MAX

Клиника гнатологии и миофункциональной стоматологии «Медлайн Люкс»
Москва, м. ВДНХ, ул. 2-ая Новоостанкинская, д. 12
Безопасный способ обрести красивую улыбку без дефектов
Наши коронки изготавливаются качественно и в короткие сроки
Минимальная обточка зубов. Толщина винира аналогична толщине контактной линзы
Естественный результат благодаря светопроницаемости
Гипоаллергенный сверхпрочный материал
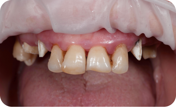
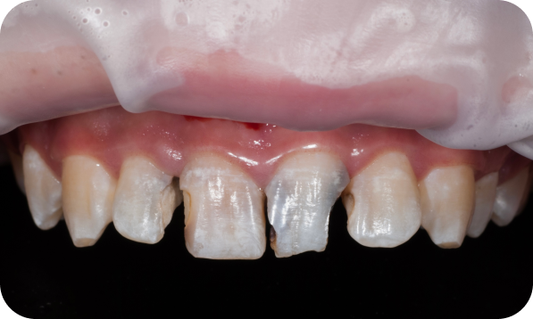
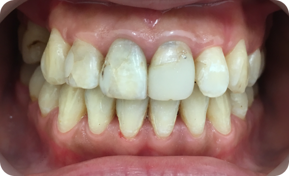
Этапы лечения
1 этап
2 этап
Подготовка полости рта: профессиональная гигиена полости рта, установка пломб, санация
3 этап
Подбор подходящего по цвету винира
Осмотр полости рта, составление плана лечения, выбор подходящей конструкции
4 этап
5 этап
Создание конструкции в лаборатории
6 этап
Установка виниров
Снятие слепка, компьютерное моделирование улыбки
Мы даём гарантию, потому что уверены в качестве работы на 100%
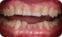
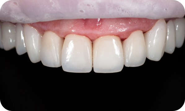
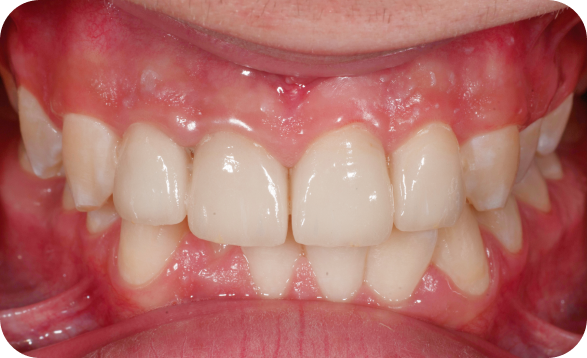
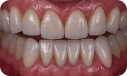
Посмотрите на наши работы и ослепительные улыбки пациентов
Стоимость: 525.000₽
Срок: 1 месяц
Что было сделано:
Имплантация 6 зубов с керамической коронкой
Стоимость: 350.000₽
Срок: 1 месяц
Что было сделано:
Имплантация 4 зубов с циркониевой коронкой
Стоимость: 160.000₽
Срок: 4 месяца
Что было сделано:
Имплантация 3 зубов с керамической коронкой
Стоимость: 300.000₽
Срок: 3 месяца
Что было сделано:
Имплантация 6 зубов с циркониевой коронкой
Стоимость: 350.000₽
Срок: 1 месяц
Что было сделано:
Имплантация 2 зубов с циркониевой коронкой
Стоимость: 350.000₽
Срок: 1 месяц
Что было сделано:
Имплантация 4 зубов с керамической коронкой
Запишитесь на консультацию в нашу клинику
На консультации мы:
  1. Проведем полное обследование
  2. Составим план лечения в 3-х вариантах
  3. Назовем точные сроки и стоимость «под ключ»
Нажимая на кнопку, вы даете согласие на обработку своих персональных данных и соглашаетесь с Политикой конфиденциальности
Администратор позвонит Вам в течении 15 минут, предложит удобное время записи на прием и ответит на имеющиеся вопросы
В нашей клинике вы ощутите комфорт,
спокойствие и нашу заботу
Контакты:
Адрес:
г. Москва, м. ВДНХ, ул. 2-ая Новоостанкинская, д. 12

Режим работы:
Ежедневно с 9:00 до 21:00

Телефон:
+7(499)673-43-73
+7(991)310-87-07

Наша почта:
info@medlainlux.ru

Записаться на консультацию